COVID-19 First Outbreak — Viral Glass-Like Nodules in Lungs — robertscribbler
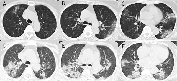
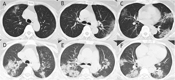
Comparison of lungs of a Wuhan patient who survived COVID-19 — image A-C — to those of a patient who suffered death from the illness — image D-F. Both image sets show the tell-tale ground glass like opacities of COVID-19 in lungs. Image source: Association of Radiologic Findings.
“The chances of a global pandemic are growing and we are all dangerously underprepared.” — World Health Organization in a September 18, 2019 statement mere months before the COVID-19 outbreak. “There’s a glaring hole in President Trump’s budget proposal for 2019, global health researchers say. A U.S. program to help other countries beef up their […]
via COVID-19 First Outbreak — Viral Glass-Like Nodules in Lungs — robertscribbler
No comments yet.
-
Archives
- March 2026 (204)
- February 2026 (268)
- January 2026 (308)
- December 2025 (358)
- November 2025 (359)
- October 2025 (376)
- September 2025 (258)
- August 2025 (319)
- July 2025 (230)
- June 2025 (348)
- May 2025 (261)
- April 2025 (305)
-
Categories
- 1
- 1 NUCLEAR ISSUES
- business and costs
- climate change
- culture and arts
- ENERGY
- environment
- health
- history
- indigenous issues
- Legal
- marketing of nuclear
- media
- opposition to nuclear
- PERSONAL STORIES
- politics
- politics international
- Religion and ethics
- safety
- secrets,lies and civil liberties
- spinbuster
- technology
- Uranium
- wastes
- weapons and war
- Women
- 2 WORLD
- ACTION
- AFRICA
- Atrocities
- AUSTRALIA
- Christina's notes
- Christina's themes
- culture and arts
- Events
- Fuk 2022
- Fuk 2023
- Fukushima 2017
- Fukushima 2018
- fukushima 2019
- Fukushima 2020
- Fukushima 2021
- general
- global warming
- Humour (God we need it)
- Nuclear
- RARE EARTHS
- Reference
- resources – print
- Resources -audiovicual
- Weekly Newsletter
- World
- World Nuclear
- YouTube
-
RSS
Entries RSS
Comments RSS






Leave a comment